
จากข้อมูลพบว่าคนไทยกว่า 20 ล้านคน หรือ 1 ใน 3 ของประชากรทั้งประเทศ กำลังเผชิญกับภาวะไขมันพอกตับ ขณะที่ในพื้นที่ภาคตะวันออกเฉียงเหนือ มีปัญหาโรคพยาธิใบไม้ตับอย่างรุนแรง โดยพบผู้ติดเชื้อสูงถึง 1 ใน 3 ของประชากรในภูมิภาค ปัญหาเหล่านี้หากปล่อยไว้ จะทำให้ตับเป็นพังผืด ตับแข็ง และกลายเป็นมะเร็งตับในท้ายที่สุด
อุปสรรคหลักๆการเข้าถึงการตรวจตับว่าปกติหรือไม่ อยู่ที่ ค่าใช้จ่าย” ทำให้คนไทยจำนวนมากยังเข้าไม่ถึงการตรวจรักษาโรคตับ เพราะเครื่องสแกนตรวจสุขภาพตับ หรือ ไฟโบรสแกน (FibroScan) มีราคาสูงถึงเครื่องละประมาณ 2.5 – 7 ล้านบาท ค่าตรวจต่อครั้งจึงมีราคาค่อนข้างสูง ซึ่งเกินกำลังของผู้ป่วยที่มีรายได้น้อย
การมีประสบการณ์ตรงกับผู้ป่วยโรคตับที่ไม่สามารถเข้าถึงการตรวจรักษา เป็นแรงบันดาลใจให้ สองนักศึกษาจากทีมห้องปฏิบัติการวัสดุฉลาด (SMART LAB) มหาวิทยาลัยเทคโนโลยีพระจอมเกล้าธนบุรี (มจธ.) ประกอบด้วย นายภูริณัฐ พลอาสา (นาโน) นักศึกษาชั้นปีที่ 3 ภาควิชาวิศวกรรมคอมพิวเตอร์ และ นางสาวชลยา เครือวุฒิกุล (วาวา) นักศึกษาชั้นปีที่ 1 สถาบันวิทยาการหุ่นยนต์ภาคสนาม (FIBO) จึงร่วมกันคิดค้นนวัตกรรม “SmartLiva ระบบวิเคราะห์ภาพอัลตราซาวด์ด้วยปัญญาประดิษฐ์ สำหรับการจำแนกพยาธิสภาพ และประเมินภาวะพังผืดรวมถึงไขมันสะสมในตับ” ขึ้น
“จากประสบการณ์ตรงที่คนใกล้ชิดไปรับการตรวจประเมินค่าตับ พบว่ามีใช้ค่าใช้จ่ายสูง เนื่องจากเครื่องไฟโบรสแกนตรวจโรคตับมีราคาแพง จึงมีเฉพาะในโรงพยาบาลขนาดใหญ่เท่านั้น ทำให้เข้าถึงได้ยาก ด้วยเหตุนี้ ทีมจึงพัฒนา AI อัจฉริยะ ที่สามารถอ่านภาพอัลตราซาวด์ได้แม่นยำและรวดเร็ว ช่วยให้การวินิจฉัยโรคตับเข้าถึงง่ายและสะดวกยิ่งขึ้นสำหรับทุกคน” นาโน เล่าถึงจุดเริ่มต้นของ SmartLiva

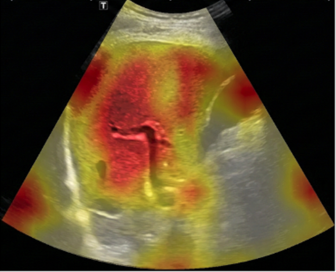
SmartLiva ทำงานเหมือน “อัปเกรด” จากภาพอัลตราซาวด์ขาวดำธรรมดาให้กลายเป็นผลวินิจฉัยที่อ่านง่ายและแม่นยำ โดยอัปโหลดภาพผ่านเว็บได้ทั้งบนคอมพิวเตอร์หรือแท็บเล็ต จากนั้นระบบจะช่วยปรับภาพให้ชัดขึ้น คัดเฉพาะบริเวณเนื้อตับที่ต้องวิเคราะห์ และทำให้ภาพดูเข้าใจง่ายขึ้นด้วยการไฮไลต์เป็นสี (เช่น ตับเป็นสีแดง ไขมันเป็นสีเหลือง) เพื่อให้เห็นความผิดปกติได้ทันที โดย AI จะทำการประเมิน 3 เรื่องพร้อมกัน คือ ประเมินระดับพังผืด/ความแข็งของตับ (F0–F4), ตรวจหาความผิดปกติของเนื้อเยื่ออย่างถุงน้ำหรือมะเร็งตับ และตรวจหาพยาธิใบไม้ตับ ซึ่งตัว AI จะทำการประมวล วิเคราะห์ และสรุปผลออกมาเป็นรายงานพร้อมภาพประกอบและคำอธิบายที่คนทั่วไปเข้าใจได้
“ผลการทดสอบการทำงานของ SmartLiva ออกมาเป็นที่น่าพอใจมาก ระบบสามารถวิเคราะห์ผลได้ค่อนข้างแม่นยำ โดยสามารถประเมินระยะตับแข็งได้แม่นยำถึง 92% ตรวจเนื้อเยื่อผิดปกติได้แม่นยำ 87% และตรวจพยาธิใบไม้ตับได้แม่นยำถึง 84% ที่สำคัญคือใช้เวลาประมวลผลทั้งหมดเพียง 7 วินาที จากเดิมที่บางครั้งต้องใช้เวลามากกว่าครึ่งชั่วโมง เราจึงมองว่านวัตกรรมนี้ช่วยลดช่องว่างการวินิจฉัยโรคตับในระยะเริ่มต้นที่ตรวจพบได้ยากและมีโอกาสคลาดเคลื่อนสูงได้ สามารถใช้เป็นผู้ช่วยในการวินิจฉัยโรคของแพทย์ได้เป็นอย่างดี” น้องวาวากล่าว

SmartLiva ถือเป็น “ความหวังใหม่” ที่ช่วยลดความเหลื่อมล้ำด้านสุขภาพให้คนไทยได้จริง เพราะทำให้ต้นทุนการตรวจโรคตับลดลงถึง 77% จากค่าตรวจหลักพัน เหลือเพียง 200–300 บาท ผู้ป่วยจึงไม่ต้องแบกภาระค่าใช้จ่ายหนักเหมือนที่ผ่านมา ขณะเดียวกันระบบยังใช้งานง่ายผ่านเว็บแอปพลิเคชัน ใช้งานได้ทั้งคอมพิวเตอร์ แท็บเล็ต และมือถือ ทำให้แพทย์ในโรงพยาบาลขนาดเล็กที่ไม่มีเครื่องไฟโบรสแกน สามารถคัดกรองผู้ป่วยโรคตับระยะเริ่มต้นได้เร็วและแม่นยำขึ้น ช่วยลดปัญหาการแออัดของจำนวนผู้ป่วยที่รอผลการตรวจและลดระยะเวลาที่ต้องรอคิวรับการรักษาในโรงพยาบาลใหญ่ได้อย่างเป็นรูปธรรม
ในอนาคตทั้งสองนักศึกษาเตรียมยกระดับ SmartLiva ให้เป็น Explainable AI (XAI) ที่สามารถอธิบายรายละเอียดแต่ละขั้นตอนการวินิจฉัยให้ชัดเจนยิ่งขึ้น พร้อมเสริมระบบ “HepaSage” ผู้ช่วยอัจฉริยะที่สรุปผลออกมาเป็นรายงานที่อ่านแล้วเข้าใจง่ายทั้งคนไข้และบุคลากรทางการแพทย์ อีกด้านหนึ่งทีมยังวางแผนทำเป็นอุปกรณ์พกพา ที่ใช้งานได้ในคลินิกหรือพื้นที่ที่เครื่องมือมีจำกัด รวมถึงต่อยอดความสามารถของ AI ไปสู่โรคอื่นๆ ที่ต้องแข่งกับเวลา เช่น การตรวจลิ่มเลือดในสมองของผู้ป่วยโรคหลอดเลือดสมอง เพื่อช่วยให้รู้ผลได้เร็ว รักษาได้ทันท่วงที ลดภาวะพิการ และเสียชีวิต
ด้วยความโดดเด่นของ SmartLiva ทำให้คว้ารางวัลชนะเลิศจากการประกวดสิ่งประดิษฐ์และนวัตกรรมระดับอุดมศึกษา I-New Gen Award 2026 สาขา กลุ่มที่ 2: สุขภาพและการแพทย์ ในงานวันนักประดิษฐ์ ประจำปี 2569 (Thailand Inventors’ Day 2026)

