15 ม.ค.2569 - นพ.มนูญ ลีเชวงวงศ์ แพทย์เฉพาะทางด้านโรคระบบการหายใจ โรงพยาบาลวิชัยยุทธ โพสต์เฟซบุ๊กระบุว่า ผู้ป่วยชายไทยอายุ 69 ปี ปกติแข็งแรงดี มีไอเล็กน้อย เสมหะสีขาว ไม่มีไข้ ไม่เบื่ออาหาร น้ำหนักไม่ลด เคยสูบบุหรี่ หยุดสูบมานานแล้ว เป็นโรคความดัน ไขมันสูง
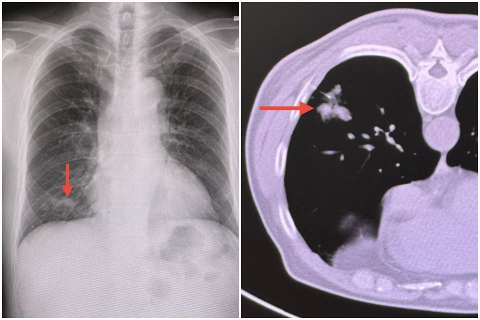
ตรวจร่างกาย ไม่มีไข้ ฟังปอดปกติ เอกซเรย์ปอดมีฝ้าขาวเล็กน้อยที่ปอดข้างขวาด้านล่าง (ดูรูป) ทำคอมพิวเตอร์ปอดเห็นฝ้าขาวที่ปอดข้างขวาด้านล่าง ส่องกล้องเข้าไปในดูในหลอดลม ไม่พบอะไรผิดปกติ ส่งน้ำล้างหลอดลมเพาะเชื้อ พบเชื้อราคริปโตค็อกคัส ใช้เข็มเจาะปอดบริเวณที่เป็นฝ้าขาว (ดูรูป) ส่งชิ้นเนื้อตรวจพยาธิวิทยา พบเชื้อราคริปโตค็อกคัส ตรวจเลือด คริปโตค็อกคัสแอนติเจน และ anti-HIV ให้ผลลบ
วินิจฉัย: ปอดอักเสบจากติดเชื้อราคริปโตค็อกคัส
ให้การรักษาด้วยยาต้านเชื้อรา fluconazole กิน 6 เดือน ติดตามเอกซเรย์ปอด ฝ้าในปอดข้างขวาด้านล่างหายเป็นปกติ
ผู้ป่วยรายนี้ปกติเป็นคนแข็งแรง ไม่เลี้ยงนกพิราบ ไม่เคยทำความสะอาดมูลนกพิราบ ที่บ้านมีนกพิราบบินมาเกาะระเบียง หลังคาบ้านบ่อย ผู้ป่วยคงสูดหายใจสปอร์ของเชื้อราจากมูลนกพิราบรอบๆบ้าน
เชื้อราคริปโตค็อกคัส (Cryptococcus) อาศัยในลำไส้ของนกพิราบ แต่ไม่ทำให้นกพิราบป่วย นกพิราบเป็นพาหะของเชื้อราตัวนี้ เวลานกพิราบถ่ายลงดิน มูลนกพิราบจะมีเชื้อราเติบโต ปล่อยสปอร์ออกมาในอากาศ คนหายใจสปอร์ของเชื้อราเข้าไปในปอด ต่อให้เป็นคนที่แข็งแรงดี เชื้อราสามารถแบ่งตัวทำให้คนปกติป่วยได้
โรคนี้ยังพบต่อเนื่อง แต่โชคดีพบไม่บ่อยในคนที่แข็งแรง ยอมรับว่าป้องกันยาก ถึงแม้ว่าเราไม่ได้อยู่ใกล้ชิดกับนกพิราบ ไม่ได้ทำความสะอาดมูลนกพิราบ เราก็ยังมีโอกาสหายใจสปอร์ของเชื้อราได้ ตราบใดที่เรายังไม่สามารถควบคุมประชากรนกพิราบโดยเฉพาะในเมืองที่กำลังเพิ่มขึ้น
ข่าวที่เกี่ยวข้อง
นกพิราบจากคูเวตซิวแชมป์โลก คว้าถ้วยพระราชทานฯ รางวัลรวมกว่า7ล้าน
เมื่อวันที่ 10 มกราคม 2569 - พัทยา อินเตอร์เนชั่นแนล พีเจ้น เรซ (PIPR) ผนึกกำลังเมืองพัทยาและกระทรวงการท่องเที่ยวและกีฬา จัดการแข่งขันนกพิราบแข่งนานาชาติพัทยา ครั้งที่ 10 (The 10th Pattaya International Pigeon Race) ชิงถ้วยพระราชทาน พระบาทสมเด็จพระปรเมนทรรามาธิบดี ศรีสินทรมหาวชิราลงกรณ พระวชิรเกล้าเจ้าอยู่หัว พร้อมเงินรางวัลรวมที่มีมูลค่าสูงกว่าทุกปีกว่า 65.7 ล้านบาท โดยในครั้งนี้เป็นการแข่งขันรอบชิงชนะเลิศ ระยะทาง 540 กิโลเมตร เริ่มต้นที่ อ.นิคมคำสร้อย จ.มุกดาหาร และเข้าเส้นชัยที่ พัทยา อินเตอร์เนชั่นแนล พีเจ้น เรซ จ.ชลบุรี ซึ่งการแข่งขันได้รับการรับรองจาก องค์กรนกพิราบแข่งระดับโลก FCI (FCI Racing Pigeons Grandprix)
หมอมนูญ ยกเคสหญิงวัย 84 เตือนปอดอักเสบติดเชื้อราคริปโตค็อกคัส จากมูลนกพิราบ
นพ.มนูญ ลีเชวงวงศ์ แพทย์เฉพาะทางด้านโรคระบบหายใจ โรงพยาบาลวิชัยยุทธ โพสต์เฟซบุ๊ก
'หมอมนูญ' เผยเดือนสิ้นปีพบคนติดโควิดน้อยลงมากๆ
นพ.มนูญ ลีเชวงวงศ์ แพทย์เฉพาะทางด้านโรคระบบหายใจ
'หมอมนูญ' เปิดสถิติบอกสิงหาคมพบไข้หวัดใหญ่พุ่ง!
นพ.มนูญ ลีเชวงวงศ์ แพทย์เฉพาะทางด้านโรคระบบหายใจ โรงพยาบาลวิชัยยุทธ
'หมอมนูญ' กางสถิติบอกโควิดลดส่วน 'ไข้หวัดใหญ่-โรโนไวรัส' พุ่ง
นพ.มนูญ ลีเชวงวงศ์ แพทย์เฉพาะทางด้านโรคระบบหายใจ
'หมอมนูญ' กางสถิติ รพ.วิชัยยุทธโควิด19 เริ่มลดลง
นพ.มนูญ ลีเชวงวงศ์ แพทย์เฉพาะทางด้านโรคระบบหายใจ โรงพยาบาลวิชัยยุทธ

